診所電話 07-5500111 請於門診時段撥打

牙齒凌亂分享 I 高雄矯正牙齒 I 隱形矯正I傳統矯正

20250219114157wY9U

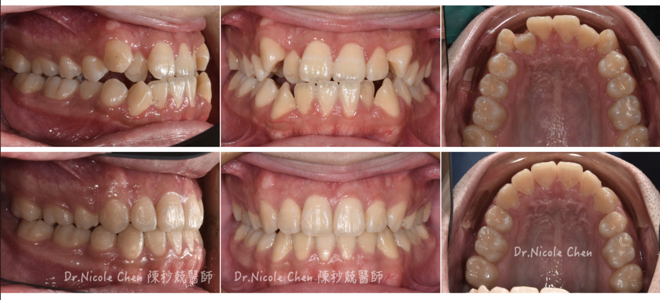
牙齒凌亂可能會造成食物容易堆積

20250219104812F26G
或是清潔困難,進而造成蛀牙的機會
20250219104848O8p5

透過牙齒矯正能夠將凌亂的牙齒排整齊

202502191052592wQ9

要將牙齒矯正排整齊需要考慮空間從哪裡獲得

202502191056027g1E

獲得空間的方式常見有非拔牙擴弓治療


202502191108184fK3

或是拔除牙齒的方式

20250219105837VjDM

需要大量空間的話要透過拔牙的矯正治療

202502191100279QQ9
牙齒角度太前飛時,也可以透過牙齒矯正創造空間將前飛的牙齒往後退

20250219111311xARe


當牙齒的角度往後回到較正常的位置,可以降低牙齒撞到的機會(尤其是小朋友)


20250219110328ji2U

不過記得
每個人的牙齒/牙齦/骨頭條件皆是獨一無二的排列組合
不同的治療計畫皆有其優點及缺點
需要由您的矯正醫師進行評估並一起討論歐


好時光牙醫診所陳秒兢醫師
高雄市鼓山區昌盛路288號(巨蛋捷運站2號出口)


矯正牙齒
矯正專科
隱形牙套
傳統矯正
隱適美
高雄隱形矯正

隱形牙套費用隱形牙套有用嗎隱形牙套缺點隱形牙套隱形牙套品牌隱形牙套要戴多久隱形牙套維持器隱形牙套推薦牙醫隱形牙套推薦隱形牙套推薦高雄隱形牙套推薦品牌台中隱形牙套推薦高雄隱形牙套推薦竹北隱形牙套推薦新竹隱形牙套推薦板橋隱形牙套推薦牙齒矯正費用牙齒矯正牙齒矯正價格兒童牙齒矯正牙齒矯正後遺症牙齒矯正商家牙齒矯正推薦高雄隱適美隱形牙套費用隱適美隱適美費用隱適美矯正隱適美牙套隱適美維持器隱適美價錢隱適美價格隱適美推薦台北隱適美推薦隱適美推薦醫生隱適美推薦牙醫隱適美推薦桃園隱適美推薦診所隱適美推薦醫師高雄隱形矯正牙齒費用高雄隱形矯正北高雄牙齒矯正推薦高雄矯正推薦高雄牙齒矯正權威高雄牙齒矯正費用高雄隱適美高雄隱適美價格隱適美醫生等級查詢隱形矯正品牌高雄隱形隱形矯正費用牙齒隱形矯正高雄矯正高雄矯正牙齒推薦高雄矯正牙齒費用高雄矯正牙齒權威高雄矯正牙醫高雄矯正牙齒診所隱適美諮詢隱適美諮詢師隱適美諮詢費用隱適美諮詢週隱適美諮詢問題高雄牙齒矯正推薦高雄矯正諮詢北高雄牙齒矯正南高雄牙齒矯正高雄矯正牙齒高雄矯正專科高雄牙齒矯正齒顎矯正專科醫師查詢齒顎矯正齒顎矯正是什麼齒顎矯正費用齒顎矯正推薦齒顎矯正年齡矯正牙齒費用矯正牙齒矯正牙齒臉型矯正牙齒注意事項矯正牙齒拔牙矯正牙齒痛矯正牙齒價格高雄矯正牙齒推薦醫生高雄矯正牙齒推薦鳳山高雄矯正牙齒價格高雄矯正牙齒推薦三民高雄矯正牙齒推薦苓雅區高雄牙齒矯正診所高雄牙齒矯正推薦醫師高雄牙齒矯正專科高雄牙齒矯正價錢高雄齒顎矯正推薦高雄齒顎矯正專科醫師高雄隱形牙套高雄隱形矯正推薦高雄隱適美推薦高雄牙套高雄透明牙套高雄牙套推薦隱適美高雄高雄齒顎矯正專科醫師推薦高雄齒顎矯正專科矯正專科高雄衛福部部定齒顎矯正專科醫師衛福部矯正專科查詢矯正專科高雄推薦矯正專科差別矯正專科醫生查詢牙齒矯正醫師推薦矯正醫師推薦矯正醫師推薦高雄高雄齒顎矯正醫師推薦高雄齒顎矯正醫師高雄齒顎矯正門診時間高雄齒顎矯正電話高雄齒顎矯正掛號高雄齒顎矯正科